Kleintier-Ordination Mittertreffling
Dr. Gerhard Biberauer
Kleintiermedizin / Veterinär-Dental-Service

 

Ordinationszeiten:
Mo - Sa: 9-12 Uhr und
Mo,Di,Mi,Fr: 16-19 Uhr
Wir bitten um telefonische Terminvereinbarung

 

Wagnerweg 2,
A-4209 Engerwitzdorf (Oberösterreich)
Tel: +43/7235/50 550
e-mail: Diese E-Mail-Adresse ist vor Spambots geschützt! Zur Anzeige muss JavaScript eingeschaltet sein!

 

Die Kleintier-Ordination Mittertreffling stellt sich vor

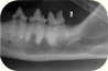
NEU: Kopf-CT (Cone-beam CT) für eine genaue Diagnose bei Zahnbehandlungen und Kieferchirurgie bei Hund, Katze & Heimtieren! bis Degu!
Fachtierarzt für Kleintierzahnheilkunde (ÖTK-Diplom) - CSAVP Dentistry uni.lux/ESAVS
Wir bitten möglichst um Terminvereinbarung!
Vor allem für Zahnbehandlungen und Audiometrie (Gehörtest).

In der Kleintier-Ordination Mittertreffling werden Kleintiere (Hunde, Katzen, Heimtiere, Vögel und Exoten) medizinisch behandelt. Das Angebot reicht neben Impfung und Krankheitsbehandlung von der Beratung und dem Verkauf von Qualitäts- und Diätfuttermitteln bis zu Röntgen, Ultraschall und EKG.

Der Schwerpunkt der Kleintierpraxis liegt in der speziellen Zahnbehandlung von Tieren. Der Tierzahnarzt Dr. Gerhard Biberauer hat das Wissen international erworben, bildet sich laufend auf weltweiten Fachkongressen weiter und ist dort als Vortragender gern gesehen.
Als Gründungspräsident der ÖGTZ (www.oegtz.at) wird die Zahnheilkunde für ihre Tiere auf dem neuesten Stand angeboten; natürlich auch mit digitalem Dentalröntgen, um eine auf guter Diagnostik basierende Zahnbehandlung zu gewährleisten!
Seit 2022 3D Bildgebung im Kopfbereich: CB-CT (DVT).

CBCT Biberauer Zahntierarzt

Seit 2007 erfolgt die Röntgenbildentwicklung (Großbildröntgen sowie intraorale Zahnröntgen) mit einem modernen digitalem System, womit die Röntgenbelastung ihres Tieres vermindert wird. Zudem sind wir eine anerkannte HD-Röntgenstelle des SVÖ. Seit 2022 3D Bildgebung im Kopfbereich: CB-CT (DVT).

 

Spezialgebiete:


Tier-Zahnheilkunde
Vet-Dental Service: Überweisungspraxis für Tier-Zahnheilkunde

Audiometrie-Service
Gehörtests für Hunde und Katzen

Komplementärmedizin
Homöopathie, Akupunktur, Laserbehandlung

 

Cookies erleichtern die Bereitstellung unserer Dienste. Mit der Nutzung unserer Dienste erklären Sie sich damit einverstanden, dass wir Cookies verwenden.
Cookies annehmen Cookies ablehnen