Kleintier-Ordination Mittertreffling
Dr. Gerhard Biberauer
Kleintiermedizin / Veterinär-Dental-Service

 

Ordinationszeiten:
Mo - Sa: 9-12 Uhr und
Mo,Di,Mi,Fr: 16-19 Uhr
Wir bitten um telefonische Terminvereinbarung

 

Wagnerweg 2,
A-4209 Engerwitzdorf (Oberösterreich)
Tel: +43/7235/50 550
e-mail: Diese E-Mail-Adresse ist vor Spambots geschützt! Zur Anzeige muss JavaScript eingeschaltet sein!

 

Veterinär-Dental-Service - Gebissfehlstellung

Fehlstellungen von Zähnen können durch falsche Relation der Kieferlängen oder durch Einzelzahnfehlstellungen verursacht sein. Oft ist ein Kieferschluss kaum möglich, oder die Tiere verletzen sich selber, somit ist auch hier eine Kiefer-orthopädische Behandlung notwendig.

Ausgehend vom mittellangem (mesocephalen) Kopf-Typ wird die normale Okklusion beschrieben. Im normalen Gebiss ist das Unterkiefer sowohl in der Länge als auch in der Weite kleiner, womit die Unterkieferzähne beginnend von den Schneidezähnen innerhalb (palatinal) der Oberkieferzähne okkludieren. Weiter wichtige Merkmale einer normalen Okklusion:

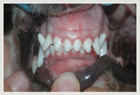
- Scherengebiss der Incisivi: Es sollen also die Oberkiefer-Schneidezähne die Unterkieferschneidezähne überlappen.

- Eckzahn-Okklusion: Der Unterkiefer-Eckzahn soll in der Mitte von Oberkiefer-Eckzahn und seitlichem Oberkiefer-Schneidezahn okkludieren.

- Stellung der Premolaren zueinander: Der jeweilige Unterkiefer-Premolare soll (rostral) des jeweiligen Oberkiefer-Premolaren liegen, wobei der P4 des Unterkiefers genau den Raum zwischen P3 und P4 des Oberkiefers teilen soll.
Das Wachstum der Kiefer und die Position der Zahnanlage werden genetisch determiniert. Das Wachstum der Kiefer kann auch durch hormonale Störungen oder durch massive Traumata beeinflusst werden.

- Skelettale Malokklusionen sind als genetisch bedingt anzusehen, außer ein ganz offensichtlicher äußerer Einfluss während der Entwicklung kann ausgemacht werden.

- reine Einzelzahnfehlstellungen (dentoalveoläre Malokklusion) können als nicht vererbt angesehen werden, außer es besteht eine deutliche Rassedisposition dafür, wie etwa die nach rostral verlagerten Canini der Shelties. Im Zweifelsfall ist aber auch hier eine hereditäre Ursache nicht auszuschließen.

Orthodontische Behandlung in der Veterinärmedizin:
Ziel einer orthodontischen Behandlung ist es dem Tier ein komfortables Zubeißen zu ermöglichen. Da alle Tiere das Recht auf ein schmerzfreies wenn auch nicht perfektes Gebiss haben, sollen Malokklusionen, die ein Trauma verursachen, auch aus ethischen Gründen behandelt werden. Die Behandlung muss mit möglichst wenig Schmerzen verbunden sein und eine gute Prognose für einen dauerhaften Erfolg haben. Die am häufigsten zu behandelnde Fehlstellung ist sicherlich ein Engstand der Unterkiefer-Eckzähne, da es dabei zu einem schmerzhaftem Einbiss ins Oberkiefer kommt. Die Behandlung kann sowohl mit aktiven orthodontischen Apparaten, wie aktivierbaren Draht oder mittels Elastics, oder durch passive Apparaturen wie Aufbisschienen erreicht werden. Verkompliziert wird eine Behandlung oft durch zusätzliche relativ zu kurze und kleine Unterkiefer (skelettaler Fehlbiss), dabei ist wiederum von einer Zucht abzusehen.

Eckzahn Fehlstellung – Vorher Eckzahn in Bewegung Eckzahn bleibt in korrigierter Positon
Eckzahneinbiss im Gaumen Zahnspange Eckzahn in korrigierter Position

 

Cookies erleichtern die Bereitstellung unserer Dienste. Mit der Nutzung unserer Dienste erklären Sie sich damit einverstanden, dass wir Cookies verwenden.
Cookies annehmen Cookies ablehnen