Kleintier-Ordination Mittertreffling
Dr. Gerhard Biberauer
Kleintiermedizin / Veterinär-Dental-Service

 

Ordinationszeiten:
Mo - Sa: 9-12 Uhr und
Mo,Di,Mi,Fr: 16-19 Uhr
Wir bitten um telefonische Terminvereinbarung

 

Wagnerweg 2,
A-4209 Engerwitzdorf (Oberösterreich)
Tel: +43/7235/50 550
e-mail: Diese E-Mail-Adresse ist vor Spambots geschützt! Zur Anzeige muss JavaScript eingeschaltet sein!

 

Veterinär-Dental-Service -Zahnwechsel:

Bereits beim Zahnwechsel tritt oft das Problem auf, dass die Milchzähne nicht ausfallen, dies führt dann sehr oft zu Fehlstellungen. Diese Fehlstellungen stellen in der Beurteilung ob sie genetisch bedingt sind einen Spezialfall dar.

Zahndurchbruchstörungen, die vor allem bei kleinen Rassen im Eckzahnbereich zu Malokklusionen führen, sind an sich zumindest genetisch determiniert, somit sind auch die daraus resultierenden Fehlstellungen als indirekt vererbt zu beurteilen.

 Die Behandlung von Zahnwechselproblemen besteht in erster Linie in der Extraktion von persistierenden Milchzähnen (Interceptive Orthodontics).Zeitgerechte Extraktion von nicht ausfallenden Milchzähnen ist eine häufig notwendige Form der Behandlung, um einer möglichen mechanischen Beeinflussung durch fehlgestellte bleibende Zähne zuvorzukommen. Am meisten betroffen sind die Milchcanini aber auch bei Milchschneidezähnen ist die Extraktion nicht ausfallender Zähne oft notwendig. Als Leitsatz kann gelten: Ein Milchzahn sollte niemals an derselben Stelle im Mund sein, wenn der entsprechende bleibende Zahn schon durchgebrochen ist. Denn der nicht ausgefallenen Milchzahn verhindert meist das normale Emporwachsen der bleibenden Zähne, was wiederrum zu Fehlstellungen von Zähnen führen kann.

Fehlstellung Milchzahn - Einbiss Oberkiefer Fehlstellung Milchzahn Milchzahn fällt nicht aus
Milchzahn fällt nicht aus Unterkiefer Milchzahn Fraktur frakturierter Milchzahn gezogen
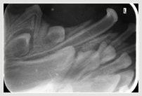
Zahnröntgen Unterkiefer - nicht ausgefallener Milchzahn Milchzähne im Unterkiefer nicht ausgefallen Milchzähne im Unterkiefer entfernt

 

Cookies erleichtern die Bereitstellung unserer Dienste. Mit der Nutzung unserer Dienste erklären Sie sich damit einverstanden, dass wir Cookies verwenden.
Cookies annehmen Cookies ablehnen