Kleintier-Ordination Mittertreffling
Dr. Gerhard Biberauer
Kleintiermedizin / Veterinär-Dental-Service

 

Ordinationszeiten:
Mo - Sa: 9-12 Uhr und
Mo,Di,Mi,Fr: 16-19 Uhr
Wir bitten um telefonische Terminvereinbarung

 

Wagnerweg 2,
A-4209 Engerwitzdorf (Oberösterreich)
Tel: +43/7235/50 550
e-mail: Diese E-Mail-Adresse ist vor Spambots geschützt! Zur Anzeige muss JavaScript eingeschaltet sein!

 

Veterinär-Dental-Service - Zahn-Verletzungen:

Zahn-Verletzungen sind sehr schmerzhaft und sind Notfälle, wobei aber bei richtiger Behandlung der Zahn oft noch erhalten werden kann. Es wird der Zahn entsprechend behandelt und mit Kunststoff, Krone oder Onlay (3/4 Krone z.B. bei Käfigbeissern) aufgebaut.
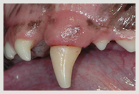
Am häufigsten sind Zahnfrakturen zu sehen. Sie entstehen bei Unfällen, Raufereien, Kauen von zu harten Knochen (Rindsknochen) oder ungeeignetem Kauknochen, Spielen mit Steinen oder großen Stöcken oder häufigem Spiel mit Tennisbällen.

Wenn ein Zahn bricht, liegt gewöhnlich der Nerv (Zahnwurzelhöhle) frei. Das tut weh! Zusätzlich entsteht eine Infektion der Wurzelhöhle, da sich in der Mundhöhle Unmengen von Keimen befinden. Auch wenn die Zahnwurzelhöhle (Pulpa) nicht direkt frei liegt, hat ihr Hund Schmerzen und die Pulpa kann sich durch das freiliegende Dentin (Zahnbein) infizieren, da im Dentin kleine Kanälchen zur zentralen Wurzelhöhle führen.
Daher brauchen alle verletzten Zähne eine entsprechende und schnelle Behandlung! Sie müssen daher sofort zum Tierarzt gehen! Dieser lindert zuerst den Schmerz und verabreicht Antibiotika, damit ihr Tier nicht leiden muss, und die Gefahr einer Zahnhöhleninfektion verringert ist. Nach dieser Erstbehandlung muss der verletzte Zahn aber dauerhaft geschützt oder wiederhergestellt werden. Diese „Restoration“ wird dann von einem in Zahnbehandlung spezialisiertem Tierarzt durchgeführt. Entschließen sie sich nicht für einen dauerhaften Schutz des verletzten Zahnes muss aus tierschützerischen Gründen dieser schmerzhafte Zahn gezogen werden.
Der gebrochene Zahn kann also durch entsprechende Behandlung (Vitalamputation, Wurzelkanalbehandlung, Kunststoffaufbau oder Metallkrone) mit den auch bei Tieren angewandten modernen Zahnbehandlungs-Methoden erhalten bleiben. Es kommt immer wieder vor, dass nach einem Unfall oder nach Hunderaufereien Zähne locker (luxiert) sind. Auch hier hat ihr Hund wieder Schmerzen, da oft die Zahnalveole, das ist der Knochen in dem der Zahn sitzt, gebrochen ist. Aus diesem Grund und wegen der sehr rasch einsetzenden Infektion und darauffolgenden Schädigung des Zahnhalteapparates ist wiederum eine rasche Erstbehandlung beim Tierarzt unumgänglich. Der lose Zahn kann oft durch speziell angefertigte Fixierungen von einem Zahnspezialisten noch gerettet werden.

Zahnfraktur Katze Zahnfraktur Katze vorn Vergleich Katze nach Wurzelbehandlung u. Plombe
Zahnfraktur Hund Zahnfraktur Hund in Behandlung Zahnfraktur Hund mit Plombe
Zahnfraktur des Hundes vor Krone Zahnverletzung mit ¾ Krone im Oberkiefer Kunststoffplombe und im Unterkiefer Krone
Zahnluxation linker Oberkiefer Eckzahn Zahnluxation Behandlung luxierter Zahn wieder in Position
Cookies erleichtern die Bereitstellung unserer Dienste. Mit der Nutzung unserer Dienste erklären Sie sich damit einverstanden, dass wir Cookies verwenden.
Cookies annehmen Cookies ablehnen