Kleintier-Ordination Mittertreffling
Dr. Gerhard Biberauer
Kleintiermedizin / Veterinär-Dental-Service

 

Ordinationszeiten:
Mo - Sa: 9-12 Uhr und
Mo,Di,Mi,Fr: 16-19 Uhr
Wir bitten um telefonische Terminvereinbarung

 

Wagnerweg 2,
A-4209 Engerwitzdorf (Oberösterreich)
Tel: +43/7235/50 550
e-mail: Diese E-Mail-Adresse ist vor Spambots geschützt! Zur Anzeige muss JavaScript eingeschaltet sein!

 

Veterinär-Dental-Service - Zahnbelag

Zahnstein ist mineralisierter Zahnbelag und tritt als erstes Zeichen eines Zahnproblems vor allem am Eckzahn und am Reißzahn auf. Damit geht bereits eine Entzündung des Zahnfleisches als erstes Stadium einer Parodontalerkrankung einher.
Zuerst entsteht Zahnbelag (Plaque) durch Anhaften und Besiedelung der Zahnoberfläche durch Bakterien. In der Maulhöhle gibt es mehr als 300 Bakterienspezies.
Der Zahnbelag ist zunächst nur auf dem Zahn begrenzt, breitet sich dann aber bis in die Zahnfleischtaschen aus und begünstigt die Entwicklung der aggressiven anaeroben Bakterienflora. Zahnstein (Calculus) ist keine Ursache von Parodontitis unterstützt aber die weitere Anhaftung von Zahnbelag.

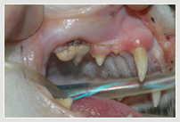
Der Mundgeruch (Halitosis) entsteht hauptsächlich durch den Abbau von Nahrungsproteinen durch anaerobe Bakterien wobei schwefelhaltige Gase freigesetzt werden. Normales Hundegebiss Zahnstein beim Hund Zahnstein beim Hund Katzen Mund stink vor Behandlung Katze EXP Massiver Zahnstein bei Katze

normales Hundegebiss geringgradiger Zahnstein bei Hund (Eckzahn) geringgradiger Zahnstein bei Hund (Reißzahn)
Katze Mund stinkt vor Zahnbehandlung massiver Zahnstein bei Katze Katze nach Extraktion fauler Zähne

 

Cookies erleichtern die Bereitstellung unserer Dienste. Mit der Nutzung unserer Dienste erklären Sie sich damit einverstanden, dass wir Cookies verwenden.
Cookies annehmen Cookies ablehnen