Kleintier-Ordination Mittertreffling
Dr. Gerhard Biberauer
Kleintiermedizin / Veterinär-Dental-Service

 

Ordinationszeiten:
Mo - Sa: 9-12 Uhr und
Mo,Di,Mi,Fr: 16-19 Uhr
Wir bitten um telefonische Terminvereinbarung

 

Wagnerweg 2,
A-4209 Engerwitzdorf (Oberösterreich)
Tel: +43/7235/50 550
e-mail: Diese E-Mail-Adresse ist vor Spambots geschützt! Zur Anzeige muss JavaScript eingeschaltet sein!

 

Veterinär-Dental-Service- Zahnröntgen

unerläßlich zur Diagnose

Neben der allgemeinen Untersuchung und der Untersuchung der Zahntaschen mittels Parodontalsonde sind ZAHNRÖNTGEN unumgänglich für eine komplette Diagnostik von Parodontalerkrankungen und bei Zahnresorptionen vor allem bei der Katze (FORL). Dabei werden spezielle Techniken mit Dentalfilmen wie beim Menschen verwendet.

In der Kleintier-Ordination Mittertreffling wird eine moderne digitale Entwicklung verwendet, die die Strahlenbelastung für Ihr Tier verringert. Ohne Zahnröntgen wird das Ausmaß des Knochenverlustes oft unterschätzt und bei der Katze viele Zahnresorptionen übersehen oder unterschätzt. Zudem ist bei einer wie in der Tier-Zahnheilkunde in einer Sitzung durchgeführten Wurzelbehandlung (Endodontie) eine Kontrolle durch Zahnröntgen unbedingt notwendig. Selbst Tumoren können sehr gut erkannt werden und auch die Kontrolle einer Zahnbewegung (Orthodontie) sollte durch Zahnröntgen erfolgen.

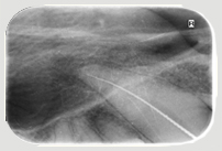
Katze mit hochgradiger RL Tumor im Unterkiefer Intraorales Zahnröntgen bei Tumor im Unterkiefer
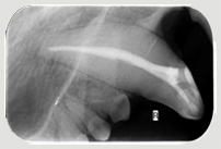
Eckzahn Fraktur Eckzahn mit Feile Eckzahn nach Wurzelbehandlung
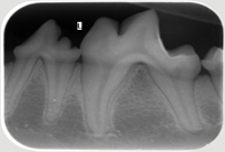
Zahnröntgen Oberkiefer Hund P4 Zahnröntgen Unterkiefer Hund normal Zahnröntgen Oberkiefer Hund dreiwurzliger P3
 
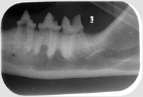
Katze FORL Katze FORL extrahiert

 

Cookies erleichtern die Bereitstellung unserer Dienste. Mit der Nutzung unserer Dienste erklären Sie sich damit einverstanden, dass wir Cookies verwenden.
Cookies annehmen Cookies ablehnen