|
Dr. Gerhard Biberauer Mehr als 50 % aller Katzen haben Zahnprobleme. Das hören Tierbesitzer beinahe täglich in der Fernsehwerbung. Und tatsächlich, Katzen sind von speziellen Zahnproblemen betroffen: Es treten neben den bekannteren Zahnkrankheiten wie Plaque, Zahnstein, Zahnfleischentzündung, Parodontitis, Frakturen und Fehlstellungen noch zwei spezifische und sehr schmerzhafte Erkrankungen auf. |
![]() |
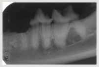
Bei den Zahn-Resorptionsläsionen -Tooth Resorption (TR - bekannt bei der Katze unter: FORL- Feline Odontoclastic Resorptive Lesion) handelt es sich um eine sehr häufig auftretende Erkrankung (zwischen 30 – 70 % der Katzen je nach untersuchter Katzenpopulation in verschiedenen Studien). Diese Läsionen, die sichtbar vor allem die Zahnhälse auflösen, sind meist sehr schmerzhaft und führen ohne Behandlung oft zum Abbrechen der Zähne. Dabei können natürlich Wurzelreste im Kiefer bleiben, die wiederum häufig neue Probleme verursachen.
Die Ursache der Zahnhalsresorption ist weitgehend unbekannt. Erwiesen ist nur die Förderung dieser Erkrankung durch dieselben Bakterien die Zahnstein, Gingivitis und Parodontitis auslösen. Die Vermutung, dass diese Erkrankung durch die Haltung in Wohnungen oder durch die „neueren“ Futtermittel (sowohl Feucht- als auch Trockenfutter) vermehrt vorkommt, konnte nicht belegt werden. Im Gegenteil die Erkrankung wurde bereits um 1920 in wissenschaftlichen Untersuchungen beschrieben und neuerdings an Katzenskeletten aus dem Mittelalter nachgewiesen.
![]() |
| Wichtig ist bei TR (FORL) jedenfalls eine genaue Diagnose durch intraorale Zahnröntgen. Denn Dental-Röntgen eröffnet eine neue Therapie bei TR (FORL). 67% der Katzen leiden unter röntgenologisch verifizierbaren TR (FORL). Nur 12,6 % der TR (FORL) sind klinisch sichtbar. Das Dentalröntgen eröffnet aber auch eine neue therapeutische Möglichkeit. Viele beginnende Wurzelresorptionen unter dem Zahnhals und sogenannte "ghost roots" werden ohne Röntgen übersehen. |
Zudem ermöglicht ein Dentalröntgen die Differenzierung zwischen den 2 wichtigsten Typen der Wurzelpathologie bei der Katze:
Typ 1: relativ normale Wurzel mit erkennbarem parodontalen Ligamentspalt und
Typ 2: Wurzelumbau („root replacement“) ohne Ligamentspalt, mit knochendichter Wurzel.
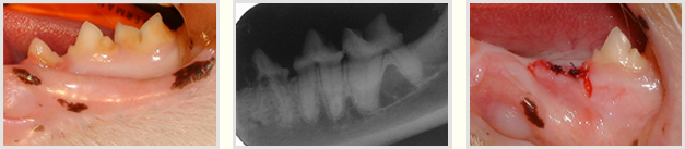
Kronenamputation ohne Wurzelextraktion nach Dentalröntgen:
Bei einer im Dental-Röntgen erkennbaren Wurzelpathologie vom Typ 2 kann bei TR (FORL) eine neue Form der Therapie angewendet werden:
"die Kronenamputation mit intendierter Wurzelretention".
Dabei wird nach Präparation eines Gingivalappens die Krone mit einem Bohrer in der Turbine abgetrennt und der Gingivalappen über der Wunde verschlossen. Vor der Naht des Gingivalappens wird zur Kontrolle des richtigen Absetzens des Zahnes ein Röntgen angefertigt, das auch als Vergleichsröntgen für das Kontrollröntgen nach etwa 6 bis 12 Monaten dient. Mit dem Kontrollröntgen wird der vollständige Umbau der Wurzel-Dentin-Struktur im Knochen kontrolliert, Granulome, Abszesshöhlen oder andere Entzündungsvorgänge werden ausgeschlossen. Der Vorteil dieser Methode liegt darin, dass die oft schwierige Extraktion von Katzenzähnen, vor allem jener mit Wurzeln vom Typ 2, umgangen werden kann. Zudem ist die Therapie mit Dentalröntgen rascher durchzuführen.

Zahnröntgen unverzichtbare Voraussetzung
Ein Zahnröntgen ist absolute Voraussetzung für diese Therapie, da kein Zusammenhang zwischen Gingival- oder Parodontalerkrankung und Wurzelresorption besteht, im Gegenteil:
Bei einer schweren Parodontalerkrankung kommt es seltener zu Ab- und Umbau der Zahnwurzeln von mit FORL befallenen Zähnen. Bei chronischer Mundhöhlenentzündung (Gingivitis-Stomatitis oder "Plasmazellgingivitis") und bei schwerer Parodontitis ist diese Methode nicht indiziert, da hier meist Wurzeln vom Typ 1 vorliegen und diese vollständig entfernt werden müssen.
Die chronische Mundhöhlenentzündung (FC-GS Feline Chronic Gingivitis-Stomatitis, oder Plasmazellgingivitis) ist die zweite spezielle Katzenkrankheit.

Diese noch schmerzhaftere chronische Entzündung der gesamten Mundhöhle ist eine Erkrankung bei der die Katzen wegen der Schmerzen tatsächlich zu fressen aufhören. Diese eher selten vorkommende Erkrankung (0,5 – 1,5%) wird ebenfalls durch Bakterien und Viren gefördert. Weitere Ursachen sind geschwächte Immunität oder eine falsche Immunantwort der Katze. Die genaue Entstehung der Krankheit ist aber ebenfalls noch unklar. Festgestellt wurde lediglich eine vermehrte Infiltration mit sogenannten Plasmazellen, deswegen auch der Name Plasmazellgingivitis.
Meist ist auch hier die einzig wirksame Behandlung die Entfernung aller Zähne in der hinteren Mundhöhle. Zur Heilung auf Dauer muß die Katze bei dieser Erkrankung oft zusätzlich mit Antibiotika und Immunsuppressiva behandelt werden.
Es gibt auch noch andere seltenere Krankheiten des Immunsystems, wie „Eosinophiles Granulom“, bei dem an Schleimhautübergängen und in der Mundhöhle meist umschriebene knotige Veränderungen auftreten. Ist die Diagnose gesichert können sie chirurgisch, mit Immunsuppressiva oder mit Homöopathie behandelt werden.
Natürlich gibt es auch in der Mundhöhle Tumoren, die entweder vom zahnbildendem Gewebe oder von den übrigen Geweben ihren Ursprung nehmen. Generell gilt, dass Tumoren, wenn sie frühzeitig erkannt werden, oft noch behandelt werden können.
Auch bei Katzen gilt Vorbeugung ist besser als Heilen:
Für die beiden spezifischen Zahnerkrankungen der Katze sowie zur Verhinderung aller anderen Zahnerkrankungen der Katze hilft regelmäßige Mundhygiene – sprich Zähneputzen. Dies ist oft schwierig. Deshalb gibt es auch spezielle Gels oder Kauröllchen, die zur Vorbeugung verwendet werden. Die wiederholte Zahnreinigung beim Tierarzt oder die Umstellung auf spezielles Trockenfutter tragen ebenfalls zur Zahngesundheit der Stubentiger bei.